Login Register
Gallery Cardiac Pericardium Case 4a Peric effusion

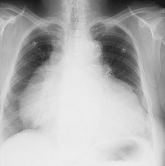
Case 4a
Peric effusion

Date: 03/17/2004
Full size: 576x579
nextlast
first previous
Case 4a
Peric effusion
nextlast
first previous
Powered by Gallery v2.3