Login
Register
Gallery
Congenital
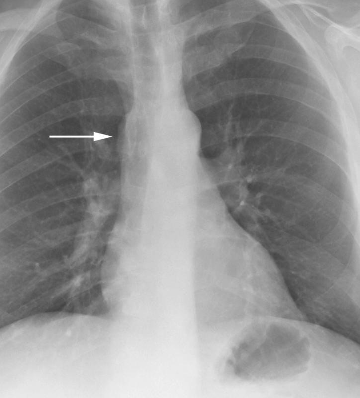
Azygous continuation
Azygous continuation
Date: 03/11/2006
Size:
724x800
776x858
Full size:
776x858
next
last
first
previous
next
last
first
previous