Login
Register
Gallery
Congenital
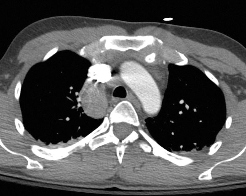
Azygous Continuation 2b
Azygous Continuation 2b
Date: 03/27/2009
Size:
800x639
854x682
Full size:
854x682
next
last
first
previous
next
last
first
previous