|
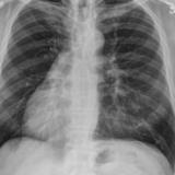
Situs inversus
Date: 10/22/2010
Views: 4656
|
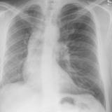
Hypoplastic right lung
Date: 08/15/2012
Views: 3181
|
cardiac bronchus - and plug
Date: 02/25/2013
Views: 3572
|
cardiac bronchus axial
Date: 02/25/2013
Views: 3456
|
|
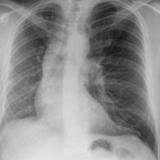
Hypoplastic Rt lung
Date: 03/29/2014
Views: 3209
|
Bronchial atresia
Date: 03/29/2014
Views: 3598
|
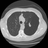
Bronchial atresia CT
Date: 03/29/2014
Views: 3476
|
cardiac bronchus - and plug
Date: 01/12/2015
Views: 4985
|
|
Br cyst Pa and Lat
Bronchogenic cyst
Date: 01/06/2018
Views: 3120
|
Br Cyst CT
Bronchogenic cyst CT
Date: 01/06/2018
Views: 4354
|
|
|