Login Register
Gallery Congenital

Congenital

Date: 05/12/2004
Size: 46 items
first previous
Situs inversus

Situs inversus

Date: 10/22/2010
Views: 4565
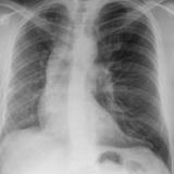
Hypoplastic right lung

Hypoplastic right lung

Date: 08/15/2012
Views: 3145
cardiac bronchus - and plug

cardiac bronchus - and plug

Date: 02/25/2013
Views: 3539
cardiac bronchus axial

cardiac bronchus axial

Date: 02/25/2013
Views: 3423
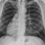
Hypoplastic Rt lung

Hypoplastic Rt lung

Date: 03/29/2014
Views: 3185
Bronchial atresia

Bronchial atresia

Date: 03/29/2014
Views: 3254
Bronchial atresia CT

Bronchial atresia CT

Date: 03/29/2014
Views: 3437
cardiac bronchus - and plug

cardiac bronchus - and plug

Date: 01/12/2015
Views: 4959
Br cyst Pa and Lat

Br cyst Pa and Lat

Bronchogenic cyst

Date: 01/06/2018
Views: 3085
Br Cyst CT

Br Cyst CT

Bronchogenic cyst CT

Date: 01/06/2018
Views: 3991
   
first previous
Page: 1 2
Powered by Gallery v2.3