Login Register
Gallery Congenital Br cyst Pa and Lat

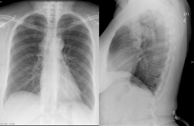
Br cyst Pa and Lat

Bronchogenic cyst

Date: 01/06/2018
Size:
Full size: 1181x768
nextlast
first previous
Br cyst Pa and Lat
nextlast
first previous
Powered by Gallery v2.3