Login
Register
Gallery
Congenital
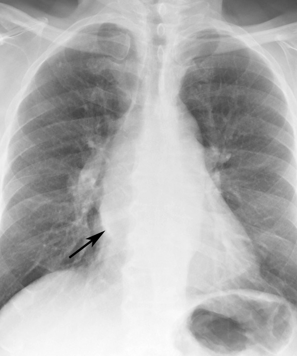
Bronch Cyst 1 arrow
Bronch Cyst 1
arrow
Date: 05/11/2004
Full size: 605x725
next
last
first
previous
next
last
first
previous