Login Register
Gallery Congenital Bronch Cyst 2 MR sagitt

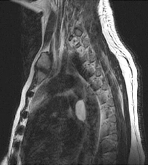
Bronch Cyst 2
MR sagitt

Date: 05/12/2004
Full size: 515x576
nextlast
first previous
Bronch Cyst 2
MR sagitt
nextlast
first previous
Powered by Gallery v2.3