Login
Register
Gallery
Congenital
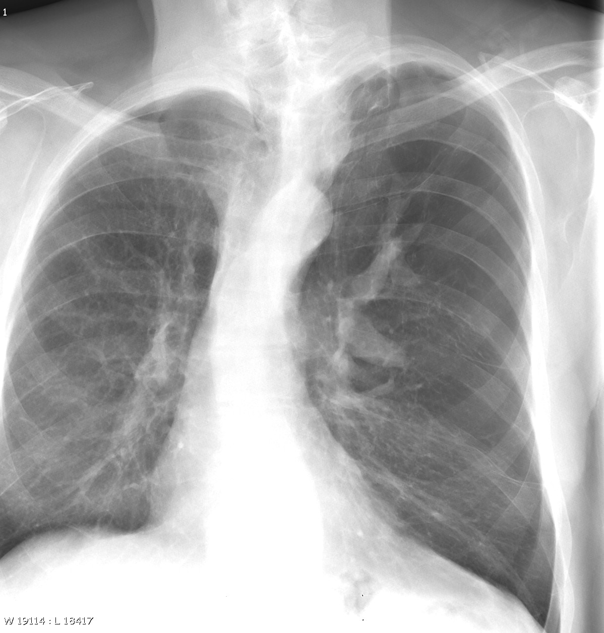
Bronchial atresia
Bronchial atresia
Date: 03/29/2014
Size:
763x800
1198x1256
Full size:
1198x1256
next
last
first
previous
next
last
first
previous