Login Register
Gallery Congenital Hamartoma 2 CTa

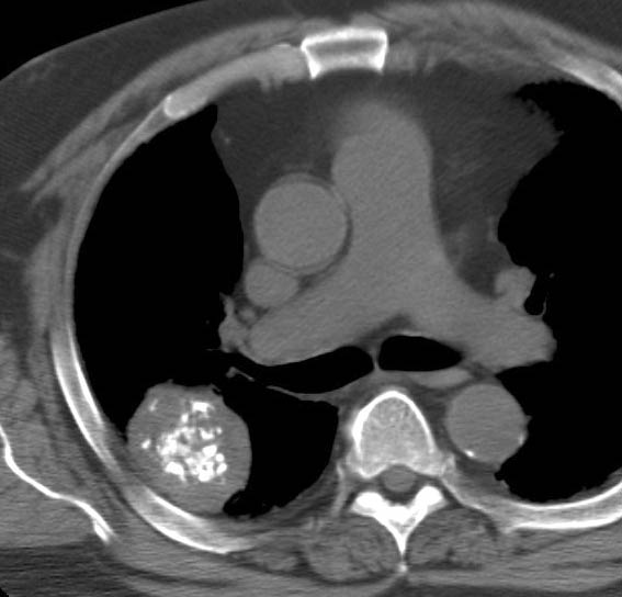
Hamartoma 2 CTa

Date: 05/11/2004
Full size: 567x544
nextlast
first previous
Hamartoma 2 CTa
nextlast
first previous
Powered by Gallery v2.3