Login
Register
Gallery
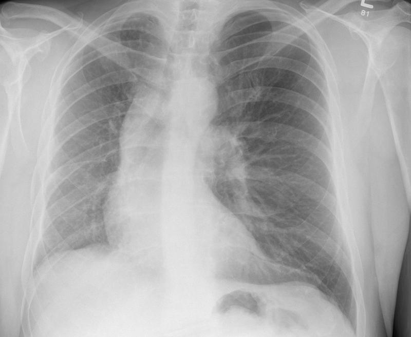
Congenital
Hypoplastic Rt lung
Hypoplastic Rt lung
Date: 03/29/2014
Size:
800x657
3730x3062
Full size:
3730x3062
next
last
first
previous
next
last
first
previous