Login Register
Gallery Congenital Hypoplastic Rt lung

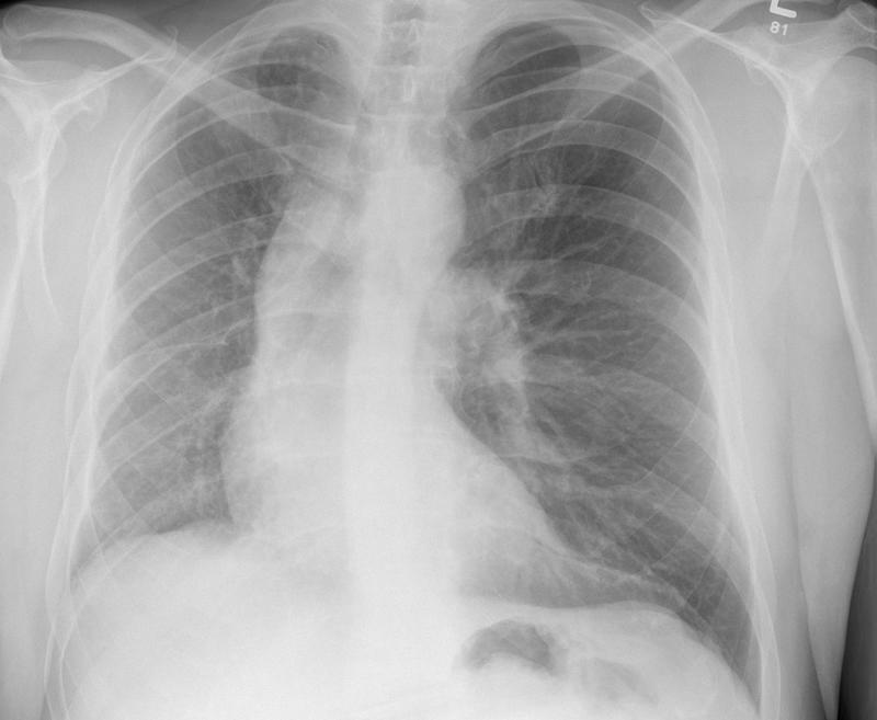
Hypoplastic Rt lung

Date: 03/29/2014
Size:
Full size: 3730x3062
nextlast
first previous
Hypoplastic Rt lung
nextlast
first previous
Powered by Gallery v2.3