Login Register
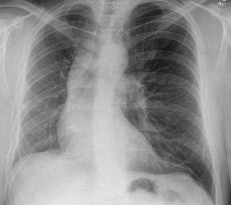
Gallery Congenital Hypoplastic right lung

Hypoplastic right lung

Date: 08/15/2012
Size:
Full size: 1117x993
nextlast
first previous
Hypoplastic right lung
nextlast
first previous
Powered by Gallery v2.3