Login
Register
Gallery
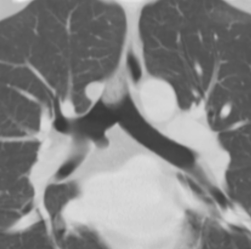
Congenital
cardiac bronchus - and plug
cardiac bronchus - and plug
Date: 01/12/2015
Size:
800x795
826x821
Full size:
826x821
next
last
first
previous
next
last
first
previous