Login Register
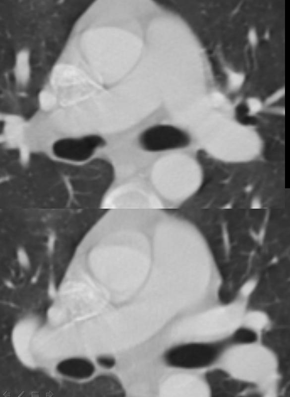
Gallery Congenital cardiac bronchus axial

cardiac bronchus axial

Date: 02/25/2013
Size:
Full size: 687x940
nextlast
first previous
cardiac bronchus axial
nextlast
first previous
Powered by Gallery v2.3