Login Register
Gallery Lobar Collapse LLL Collapse LLL Collapse Case 5 PA

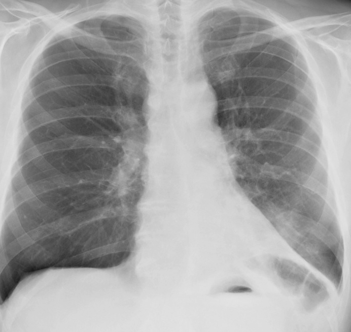
LLL Collapse Case 5 PA

Date: 02/28/2004
Full size: 692x654
nextlast
first previous
LLL Collapse Case 5 PA
nextlast
first previous
Powered by Gallery v2.3