Login Register
Gallery Lobar Collapse LUL Collapse LUL Collapse Case 1 PA

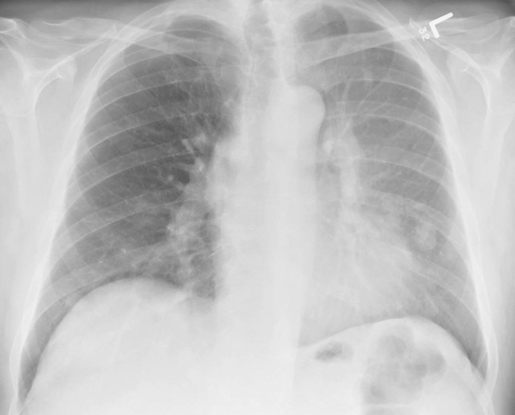
LUL Collapse Case 1 PA

Date: 02/19/2004
Size:
Full size: 1025x826
nextlast
LUL Collapse Case 1 PA
nextlast
Powered by Gallery v2.3