Login Register
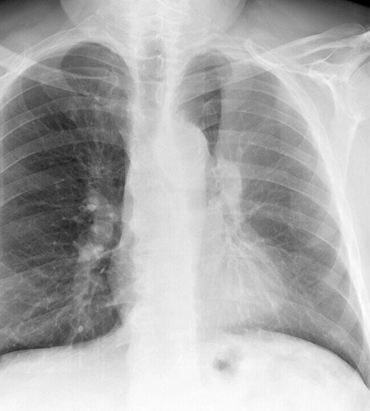
Gallery Lobar Collapse LUL Collapse LUL Collapse Case 5 PA

LUL Collapse Case 5 PA

Date: 02/19/2004
Full size: 518x576
nextlast
first previous
LUL Collapse Case 5 PA
nextlast
first previous
Powered by Gallery v2.3