Login Register
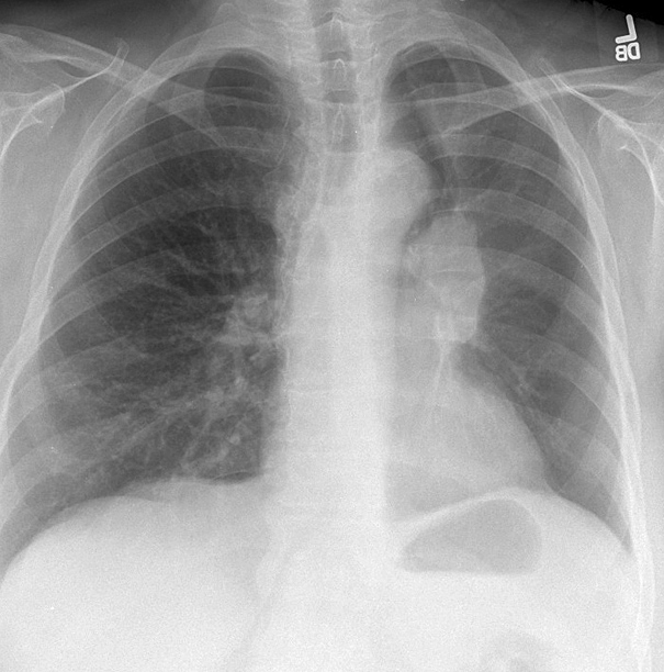
Gallery Lobar Collapse LUL Collapse LUL Collapse Case 7 PA

LUL Collapse Case 7 PA

Date: 02/19/2004
Full size: 605x612
nextlast
first previous
LUL Collapse Case 7 PA
nextlast
first previous
Powered by Gallery v2.3