Login Register
Gallery Lobar Collapse Misc

Misc

Date: 01/11/2008
Size: 5 items
Microatelectasis (under debate)

Microatelectasis (under debate)

Date: 01/11/2008
Views: 3528
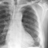
Rounded atelectasis case 1

Rounded atelectasis case 1

Date: 01/13/2008
Views: 3589
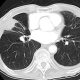
Rounded atelectasis case 1 CT

Rounded atelectasis case 1 CT

Date: 01/13/2008
Views: 3513
Rounded atelectasis case 2

Rounded atelectasis case 2

Date: 03/28/2009
Views: 3126
Rounded atelectasis case 3

Rounded atelectasis case 3

Date: 01/10/2010
Views: 2975
     
Page: 1
Powered by Gallery v2.3