Login Register
Gallery Lobar Collapse RLL Collapse

RLL Collapse

Date: 02/28/2004
Size: 9 items
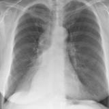
RLL Collapse 1 PA

RLL Collapse 1 PA

Date: 02/28/2004
Views: 3445
RLL Collapse  1 Lateral

RLL Collapse 1 Lateral

Date: 02/28/2004
Views: 3258
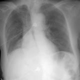
RLL Collapse 2 PA only

RLL Collapse 2 PA only

Date: 02/28/2004
Views: 3136
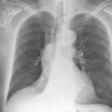
RLL Collapse 3 PA only

RLL Collapse 3 PA only

Date: 02/28/2004
Views: 3181
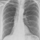
RLL collapse 4 PA

RLL collapse 4 PA

Date: 03/02/2006
Views: 3252
RLL collapse 4 Lat

RLL collapse 4 Lat

Date: 03/02/2006
Views: 3234
Mass RLL collapse 5 PA

Mass RLL collapse 5 PA

Date: 03/02/2006
Views: 4039
Mass RLL collapse 5 Lat

Mass RLL collapse 5 Lat

Date: 03/02/2006
Views: 3803
Mass  RLL collapse 5 CT

Mass RLL collapse 5 CT

Date: 03/02/2006
Views: 3996
     
Page: 1
Powered by Gallery v2.3