Login Register
Gallery Lobar Collapse RLL Collapse Mass RLL collapse 5 CT

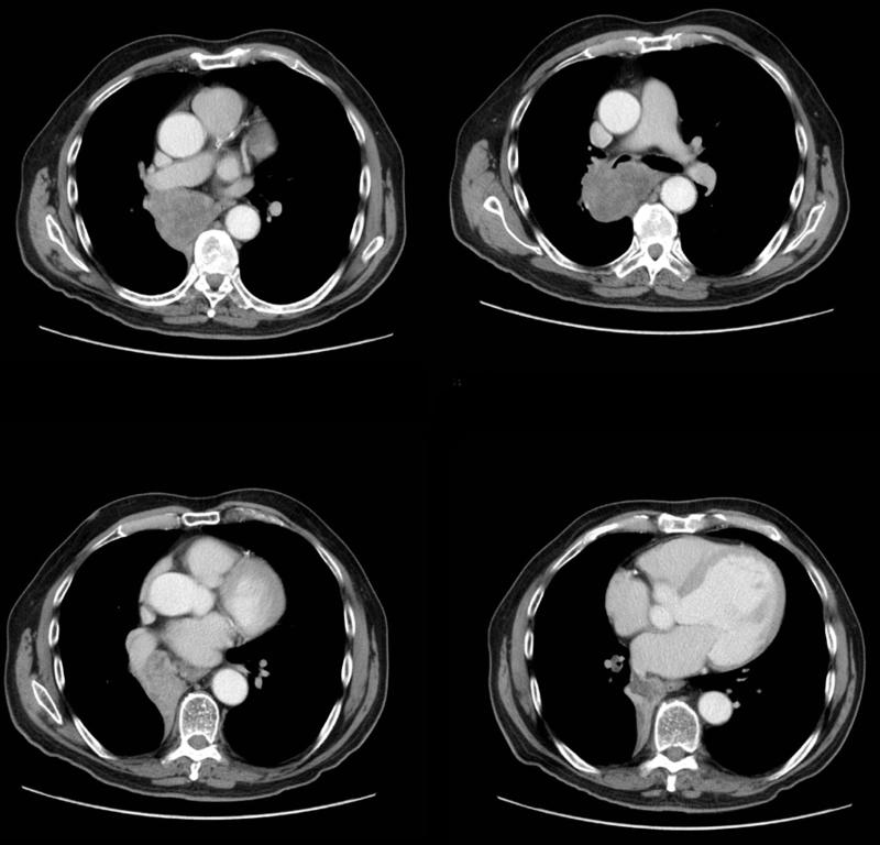
Mass RLL collapse 5 CT

Date: 03/02/2006
Size:
Full size: 900x864
first previous
Mass  RLL collapse 5 CT
first previous
Powered by Gallery v2.3