Login Register
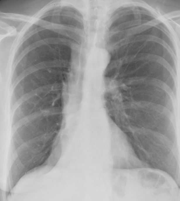
Gallery Lobar Collapse RLL Collapse RLL Collapse 1 PA

RLL Collapse 1 PA

Date: 02/28/2004
Full size: 615x688
nextlast
RLL Collapse 1 PA
nextlast
Powered by Gallery v2.3