Login Register
Gallery Lobar Collapse RLL Collapse RLL Collapse 2 PA only

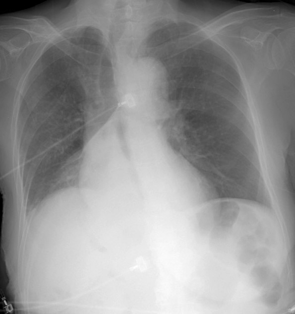
RLL Collapse 2 PA only

Date: 02/28/2004
Full size: 595x633
nextlast
first previous
RLL Collapse 2 PA only
nextlast
first previous
Powered by Gallery v2.3