Login Register
Gallery Lobar Collapse RML Collapse

RML Collapse

Date: 02/28/2004
Size: 6 items
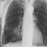
Case 1 PA

Case 1 PA

Date: 02/28/2004
Views: 3456
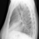
Case 1 Lateral

Case 1 Lateral

Date: 02/28/2004
Views: 3194
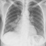
Case 2 PA

Case 2 PA

Date: 02/28/2004
Views: 3138
Case 2 Lateral

Case 2 Lateral

Date: 02/28/2004
Views: 3384
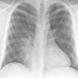
Case 3 PA

Case 3 PA

Date: 07/23/2006
Views: 4184
Case 3 Lat

Case 3 Lat

Date: 07/23/2006
Views: 5144
   
Page: 1
Powered by Gallery v2.3