Login Register
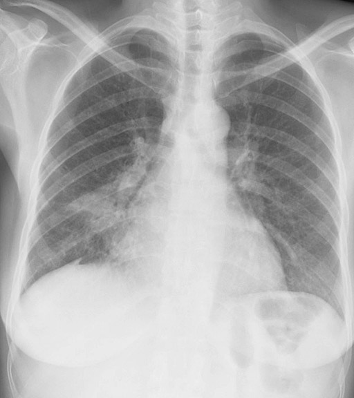
Gallery Lobar Collapse RML Collapse Case 1 PA

Case 1 PA

Date: 02/28/2004
Full size: 512x576
nextlast
Case 1 PA
nextlast
Powered by Gallery v2.3