Login Register
Gallery Lobar Collapse RUL Collapse RUL Collapse Case 3 CT

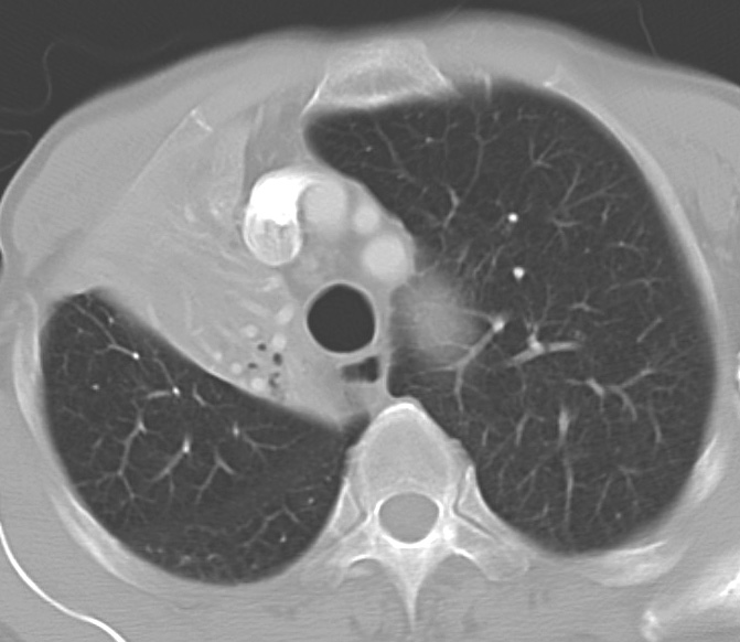
RUL Collapse Case 3 CT

Date: 02/28/2004
Full size: 671x582
nextlast
first previous
RUL Collapse Case 3 CT
nextlast
first previous
Powered by Gallery v2.3