Login
Register
Gallery
Lobar Collapse
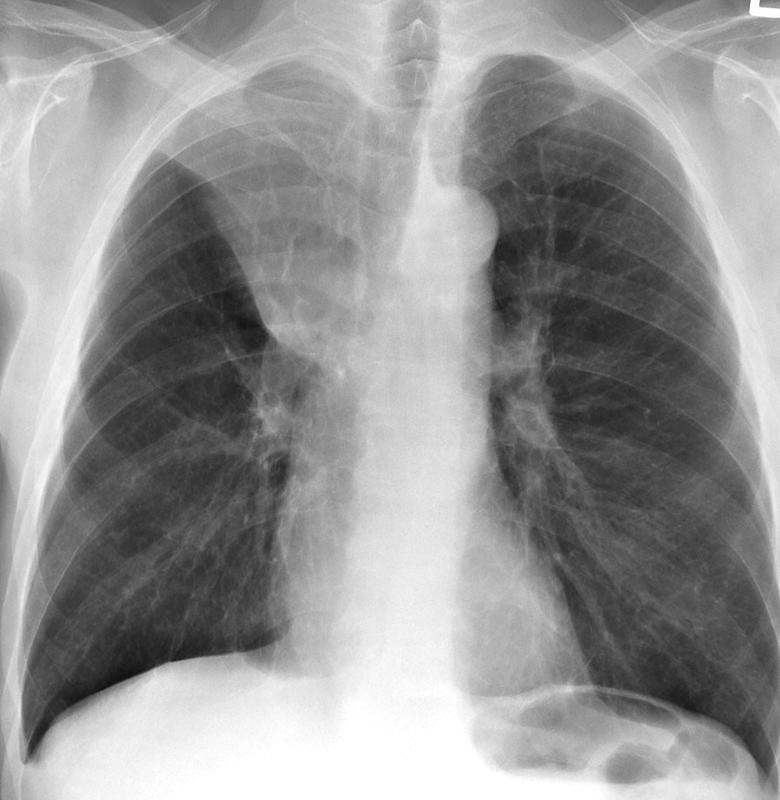
RUL Collapse
RUL Collapse Case 9 PA
RUL Collapse Case 9 PA
Date: 03/11/2006
Size:
780x800
938x962
Full size:
938x962
next
last
first
previous
next
last
first
previous