Login Register
Gallery Lobar Collapse RUL Collapse RUL collapse Case 11

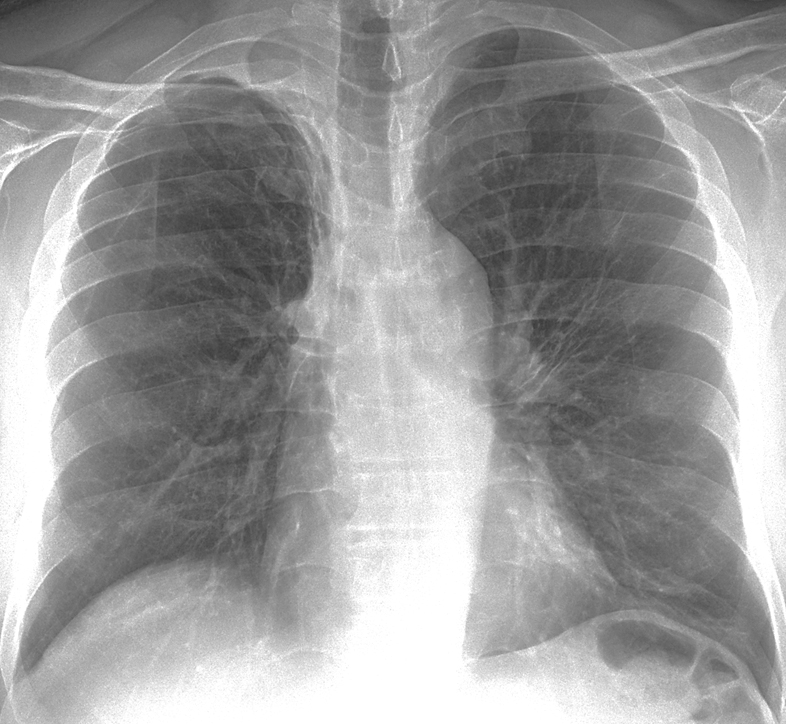
RUL collapse Case 11

Date: 04/07/2014
Full size: 786x724
nextlast
first previous
RUL collapse Case 11
nextlast
first previous
Powered by Gallery v2.3