Login Register
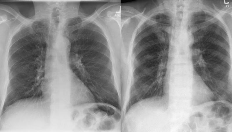
Gallery Lung Cancer Mets Prostate before and after

Prostate before and after

Date: 03/11/2006
Size:
Full size: 1008x576
nextlast
first previous
Prostate before and after
nextlast
first previous
Powered by Gallery v2.3