Login Register
Gallery Lung Cancer Mets

Mets

Date: 02/18/2006
Size: 52 items
first previous
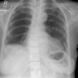
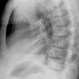
Prostate PA mets

Prostate PA mets

Date: 03/11/2006
Views: 2704
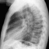
Prostate Lat mets

Prostate Lat mets

Date: 03/11/2006
Views: 2768
Prostate before and after

Prostate before and after

Date: 03/11/2006
Views: 2620
Prostate before and after

Prostate before and after

Date: 03/11/2006
Views: 2542
Prostate Bone scan

Prostate Bone scan

Date: 03/11/2006
Views: 2654
Prostate Bøne scan

Prostate Bøne scan

Date: 03/11/2006
Views: 2539
Breast mets

Breast mets

Date: 03/11/2006
Views: 2335
Breast mets

Breast mets

Date: 03/11/2006
Views: 2381
Renal cell to pleura

Renal cell to pleura

Date: 11/19/2005
Views: 1795
Met breast PA

Met breast PA

Date: 03/11/2006
Views: 2456
Met breast lat

Met breast lat

Date: 03/11/2006
Views: 2559
testis - halo

testis - halo

Date: 07/23/2006
Views: 2502
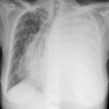
Mets and malignant ffusion

Mets and malignant ffusion

Date: 04/04/2010
Views: 2507
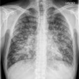
Malignant effusion

Malignant effusion

Date: 04/05/2010
Views: 2440
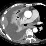
cystic mets (pancreas adenoca)

cystic mets (pancreas adenoca)

Date: 08/13/2012
Views: 2518
Kaposi's sarcoma

Kaposi's sarcoma

Date: 02/25/2013
Views: 3190
first previous
Page: 1 2
Powered by Gallery v2.3