Login Register
Gallery Lung Cancer Mets Kaposi's sarcoma

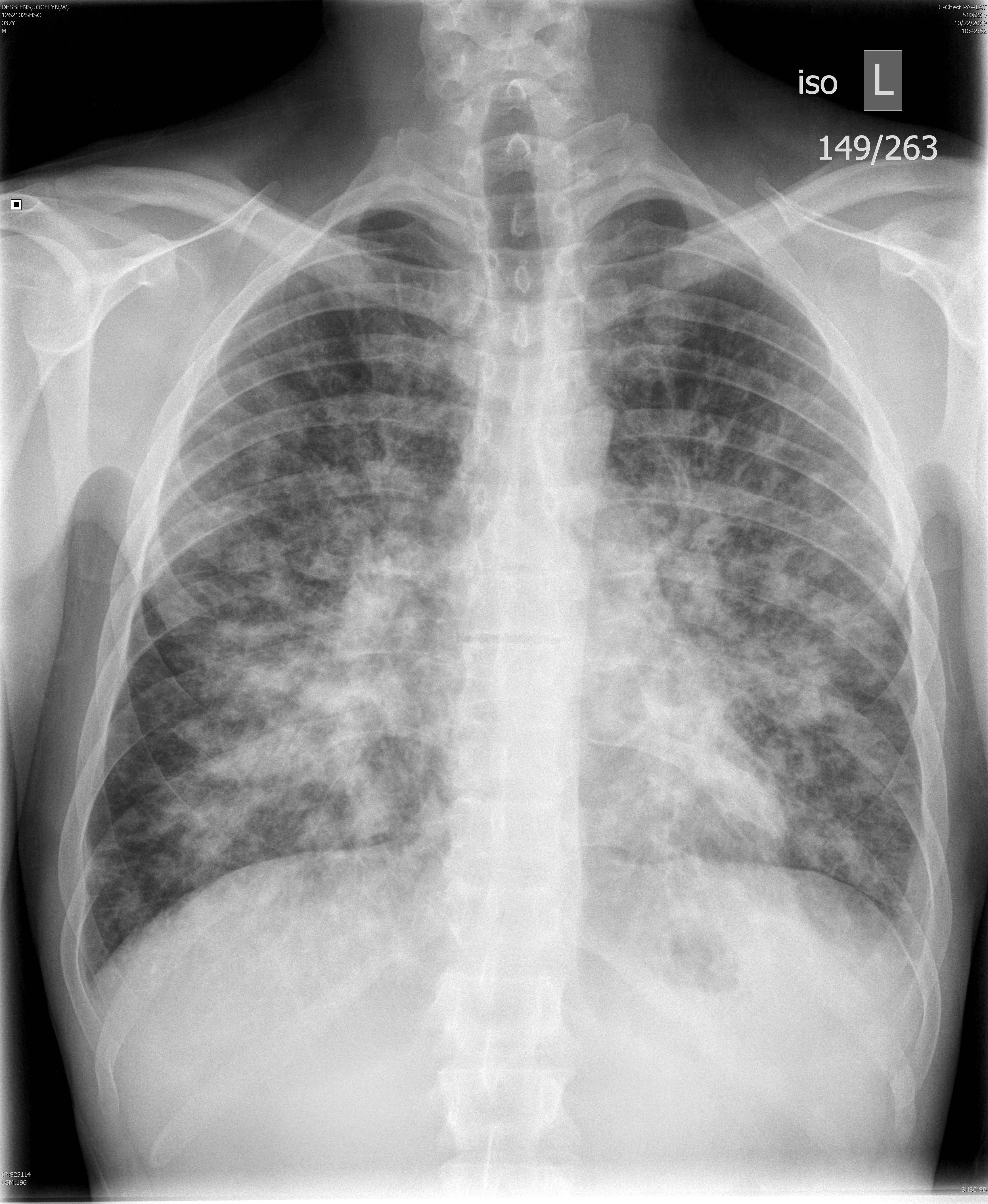
Kaposi's sarcoma

Date: 02/25/2013
Size:
Full size: 3480x4240
first previous
Kaposi's sarcoma
first previous
Powered by Gallery v2.3