Login Register
Gallery Lung Cancer Miscell CA LLL collapse

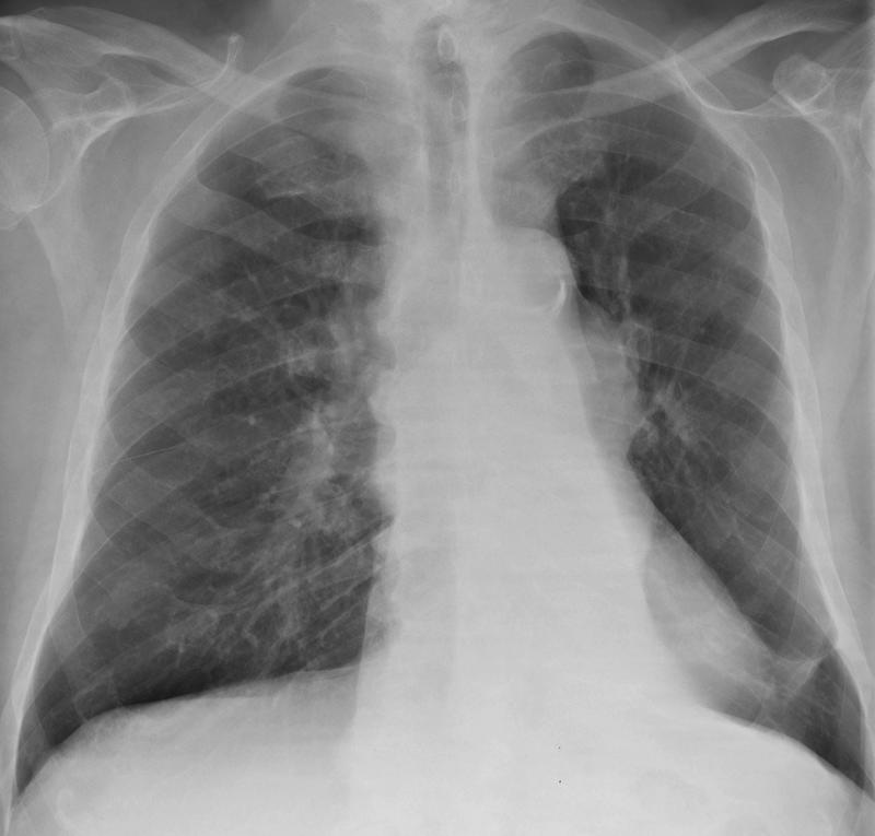
CA LLL collapse

Date: 02/25/2013
Size:
Full size: 1787x1708
nextlast
CA LLL collapse
nextlast
Powered by Gallery v2.3