Login Register
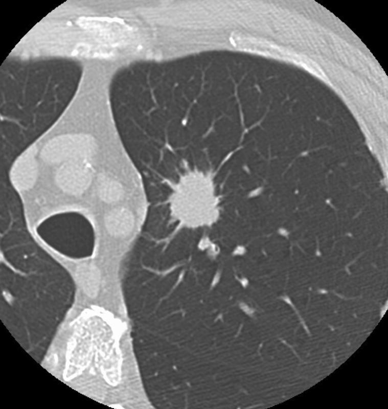
Gallery Lung Cancer Nodules & Masses 8b

8b

Date: 01/15/2006
Size:
Full size: 782x824
nextlast
first previous
8b
nextlast
first previous
Powered by Gallery v2.3