Login
Register
Gallery
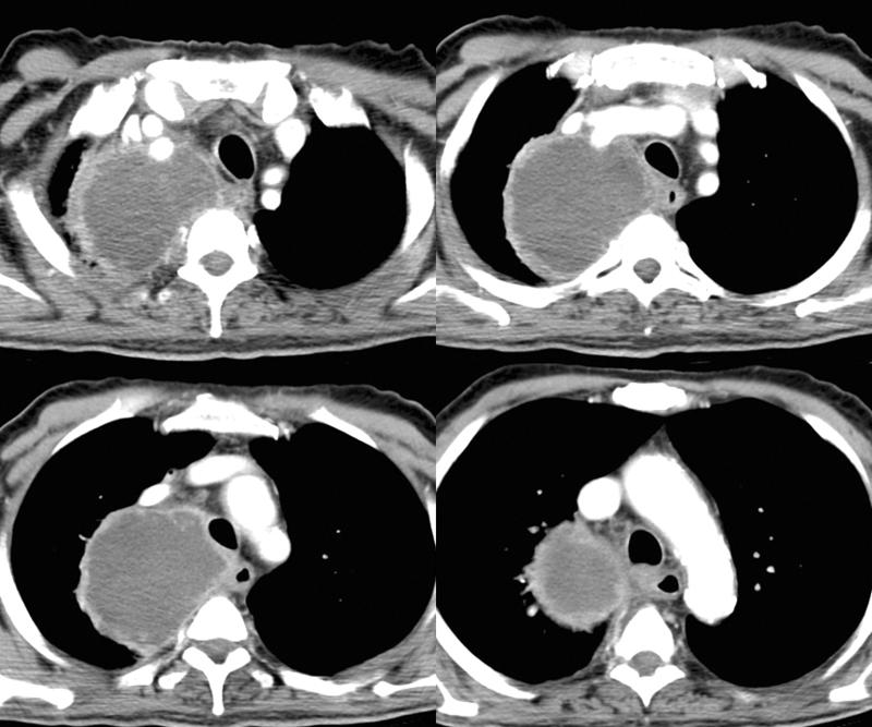
Lung Cancer
Nodules & Masses
15b
15b
Date: 03/11/2006
Size:
800x667
864x720
Full size:
864x720
next
last
first
previous
next
last
first
previous