Login Register
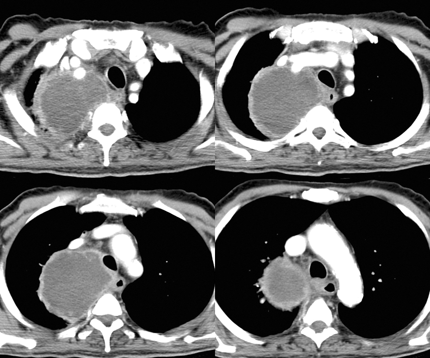
Gallery Lung Cancer Nodules & Masses 15b

15b

Date: 03/11/2006
Size:
Full size: 864x720
nextlast
first previous
15b
nextlast
first previous
Powered by Gallery v2.3