Login Register
Gallery Lung Cancer Nodules & Masses Subtle apical cancer

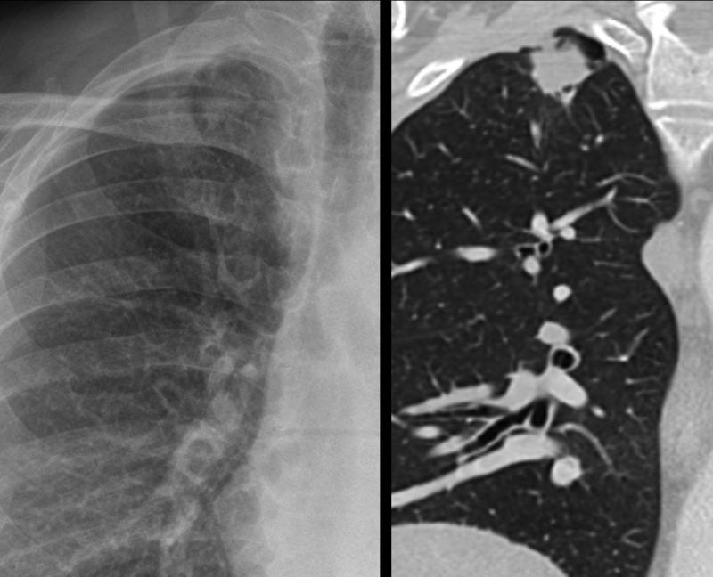
Subtle apical cancer

Date: 03/02/2014
Size:
Full size: 1184x959
nextlast
first previous
Subtle apical cancer
nextlast
first previous
Powered by Gallery v2.3