Login Register
Gallery Lung Cancer Nodules & Masses adenocarcinoma

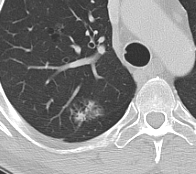
adenocarcinoma

Adenocarcinoma

Date: 04/23/2016
Full size: 641x569
nextlast
first previous
adenocarcinoma
nextlast
first previous
Powered by Gallery v2.3