Login
Register
Gallery
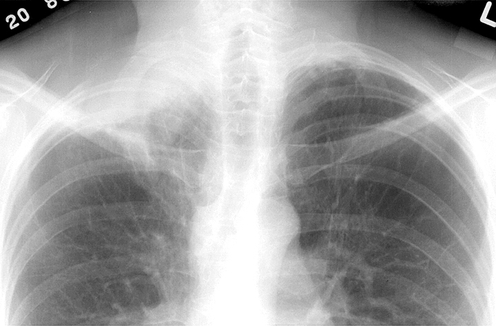
Lung Cancer
Pancoast
Pancoast Case 2 closeup
Pancoast Case 2 closeup
Date: 03/03/2004
Full size: 720x474
next
last
first
previous
next
last
first
previous