Login Register
Gallery Mediastinum Fat Pad Fat Pad Case 3c

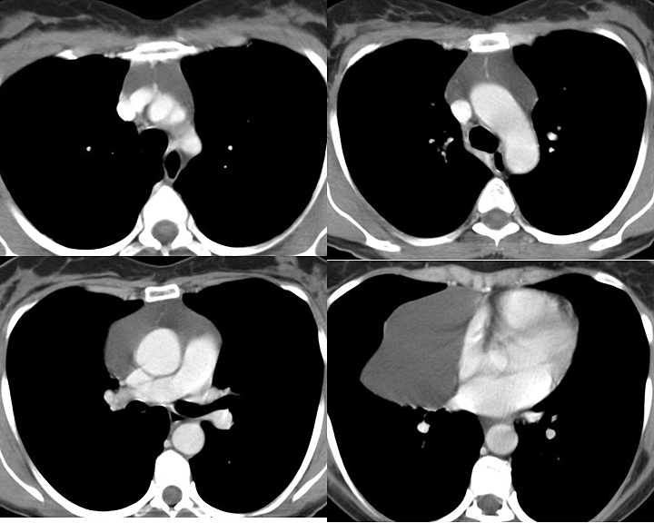
Fat Pad
Case 3c

Date: 03/17/2004
Full size: 720x576
nextlast
first previous
Fat Pad
Case 3c
nextlast
first previous
Powered by Gallery v2.3