Login
Register
Gallery
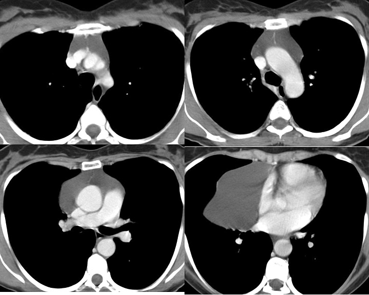
Mediastinum
Fat Pad
Fat Pad Case 3c
Fat Pad
Case 3c
Date: 03/17/2004
Full size: 720x576
next
last
first
previous
next
last
first
previous