Login Register
Gallery Mediastinum Fat Pad Fat Pad Case 4a

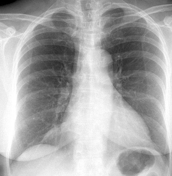
Fat Pad
Case 4a

Date: 03/17/2004
Full size: 604x615
nextlast
first previous
Fat Pad
Case 4a
nextlast
first previous
Powered by Gallery v2.3