Login Register
Gallery Mediastinum Fat Pad Fat Pad Case 10a

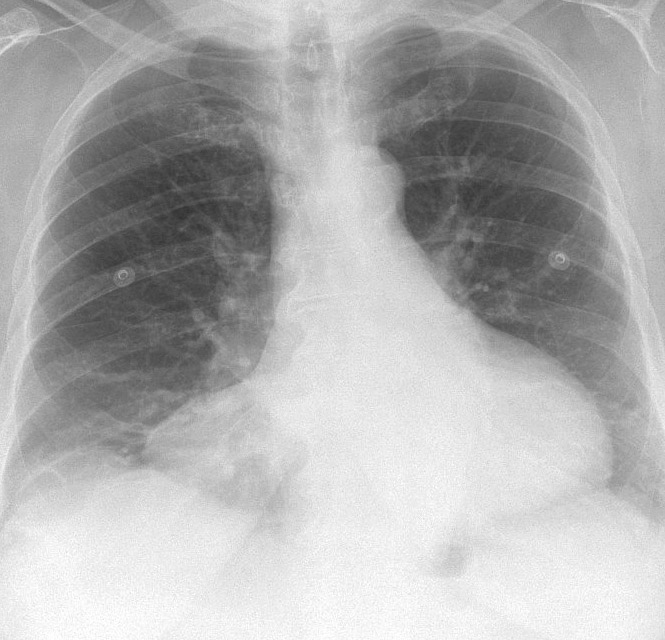
Fat Pad
Case 10a

Date: 03/17/2004
Full size: 665x640
nextlast
first previous
Fat Pad 
Case 10a
nextlast
first previous
Powered by Gallery v2.3