Login
Register
Gallery
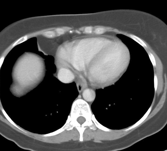
Mediastinum
Fat Pad
Fat Pad Case 11b
Fat Pad
Case 11b
Date: 03/17/2004
Full size: 674x609
next
last
first
previous
next
last
first
previous