Login Register
Gallery Mediastinum Hiatus Hernia Hiatus Hernia Case 5 PA

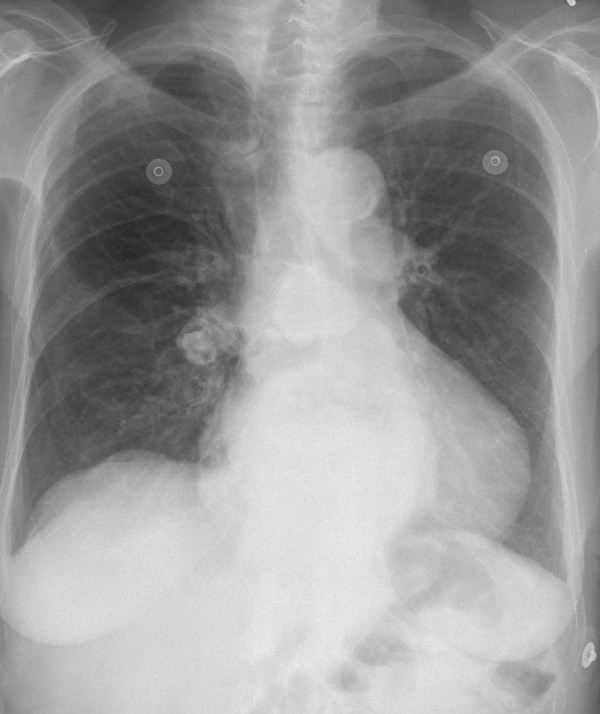
Hiatus Hernia
Case 5 PA

Date: 03/17/2004
Full size: 600x714
nextlast
first previous
Hiatus Hernia
Case 5 PA
nextlast
first previous
Powered by Gallery v2.3