Login
Register
Gallery
Mediastinum
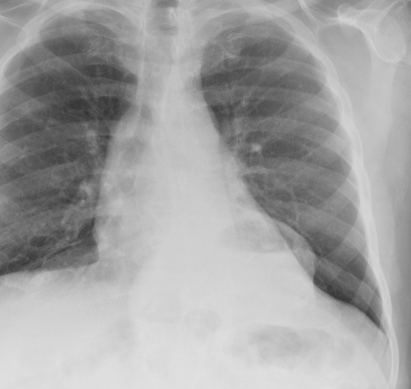
Hiatus Hernia
Hiatus Hernia Case 7 PA
Hiatus Hernia
Case 7 PA
Date: 03/17/2004
Size:
800x758
830x786
Full size:
830x786
next
last
first
previous
next
last
first
previous