Login Register
Gallery Mediastinum Hiatus Hernia Hiatus Hernia Case 7 PA

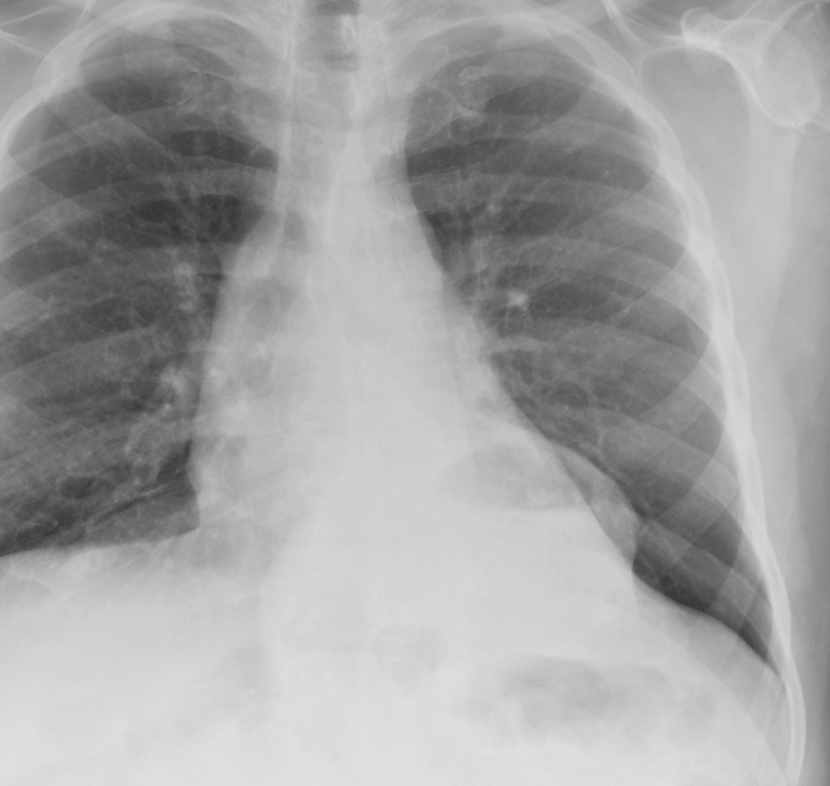
Hiatus Hernia
Case 7 PA

Date: 03/17/2004
Size:
Full size: 830x786
nextlast
first previous
Hiatus Hernia
Case 7 PA
nextlast
first previous
Powered by Gallery v2.3