Login Register
Gallery Mediastinum Hiatus Hernia Hiatus Hernia Case 9 PA

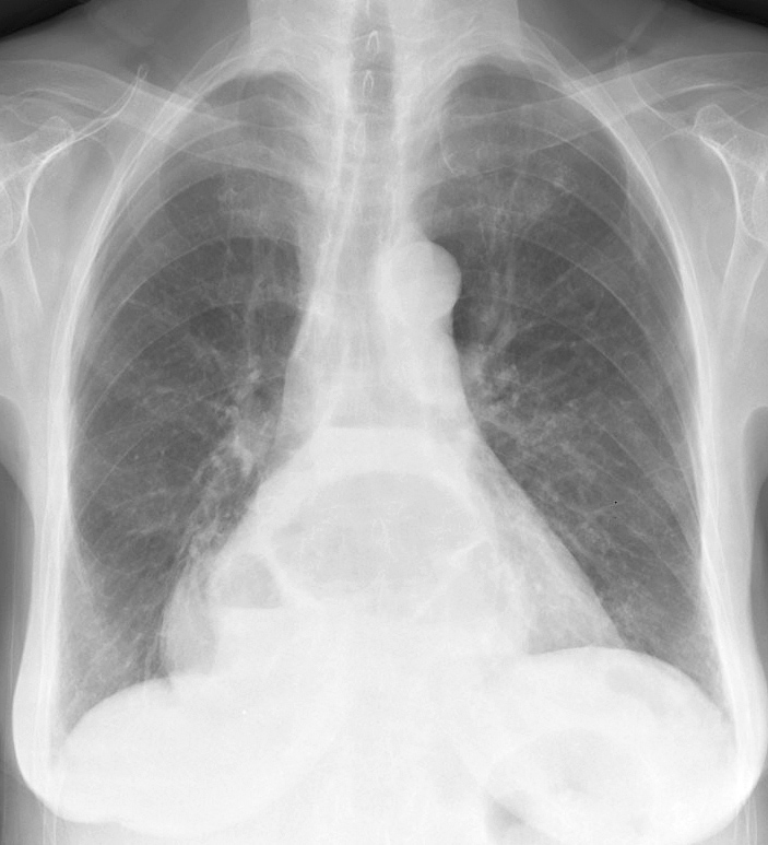
Hiatus Hernia
Case 9 PA

Date: 03/17/2004
Full size: 703x773
nextlast
first previous
Hiatus Hernia
Case 9 PA
nextlast
first previous
Powered by Gallery v2.3