Login Register
Gallery Mediastinum Hiatus Hernia Hiatus Hernia Case 10 CT

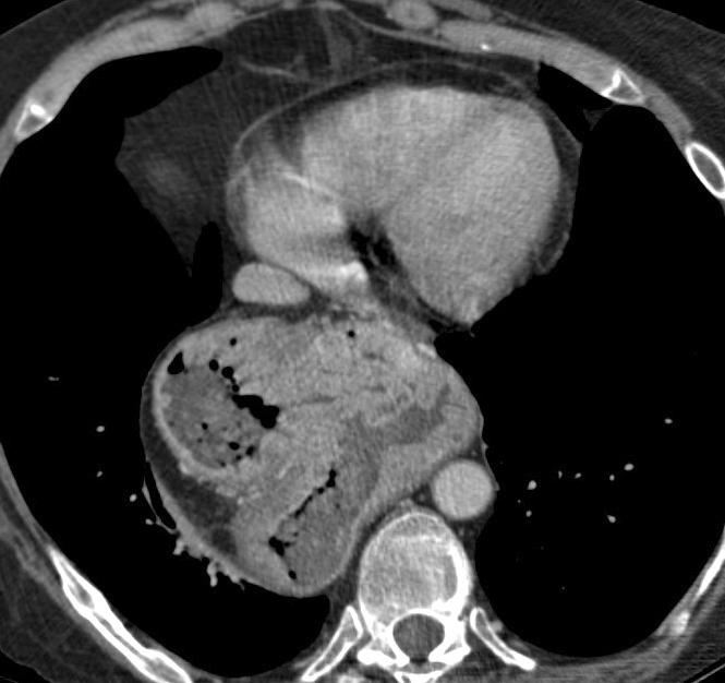
Hiatus Hernia
Case 10 CT

Date: 03/17/2004
Full size: 665x626
nextlast
first previous
Hiatus Hernia
Case 10 CT
nextlast
first previous
Powered by Gallery v2.3