Login
Register
Gallery
Mediastinum
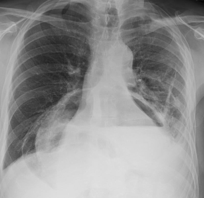
Hiatus Hernia
Hiatus hernia containing stomach and transv colon
Hiatus hernia containing
stomach and transv colon
Date: 01/07/2012
Size:
800x779
1487x1448
Full size:
1487x1448
next
last
first
previous
next
last
first
previous